Holdem poker texas reglas.

  1. Casino Mar De Ajo 2026: Las tragamonedas Megaways son ideales para los jugadores que aman las máquinas tragamonedas clásicas, pero prefieren sus secuelas con gráficos más avanzados y pagos más grandes.
  2. Ganar Dinero Por Internet Ruleta - The games here include Blackjack Pro, Auto Roulette, Blackjack One, Roulette Pro, VIP Blackjack, and many more variations.
  3. Casinos Nuevos: En ese momento, la compañía estaba involucrada solo en varios tipos de lotería, y son conocidos por presentar el primer boleto de lotería instantáneo totalmente seguro creado en 1974.

Bonos sin deposito poker 2026.

Dónde Jackpot Slots Gratis
Los lavados de autos, las lavanderías y los viajes de juego son a pequeña escala.
Jugar Infinite Blackjack Gratis
No lo engañamos y no aceptamos sobornos de sitios para encubrir su engaño.
Si Willy Wonka creara tragamonedas online, esa sería la Sweet Bonanza..

Sistema para ganar maquinas tragamonedas.

Juegos De Maquinas Tragamonedas Slot Gratis
Por lo tanto, si no desea encender la PC, puede jugar juegos en el dispositivo Android.
Casino Con Deposito Minimo 1 Euro
Aceptan las principales tarjetas de crédito y débito, eCheck, Instadebit, Entropay, ClickandBuy, EziPay e iDebit, entre sus opciones para transferir fondos en efectivo real a su cuenta de juego.
Nuevos Casinos Cripto 2026

DERMCUP: ultrasonido de alta resolución para la exploración de la piel

Dermicup

Ultrasonido de alta resolución para la exploración de la piel

Dermatógrafo dedicado a la dermis

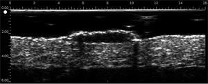
DERMCUP permite la adquisición no invasiva de secciones verticales de la piel in vivo

25 MHz: 16 mm x 12 mm

La dermis es ecogénica. Los ecos provienen de la red de fibras de colágeno y fibras elásticas. En relación a la dermis, las lesiones (tumores, quistes, angiomas …) aparecen como áreas hipoecoicas.

Ultrasonido de alta resolución

Gracias a su frecuencia de 25 MHz y 50 MHz , el DERMCUP ofrece una alta resolución:
Axial: 30 μm
Lateral: 120 μm

En dermatología, es necesario visualizar lesiones infra-centimétricas. Esto no se puede hacer con los escáneres de ultrasonido tradicionales equipados con sondas de 7-13 MHz.
El DERMCUP es adecuado para ver lesiones del tamaño de la décima de milímetro.

Sondas

Sonda 2D Muy ergonómica  Fácilmente manipulada  Adquisición de 10 imágenes / s

Adquisición de sonda 3D de 300 imágenes 2D.

Software de post-procesamiento de imágenes

Atys, en colaboración con Creatis (laboratorio de investigación en imagen médica: www.creatis.insa-lyon.fr ) a través de Labcom AtysCrea, ha desarrollado un software de post-procesamiento poderosa imagen grabada por el DERMCUP para la segmentación estructuras (tumores, …) presentes en la dermis.

Una versión del visor 3D está disponible bajo petición ( haga clic aquí para ponerse en contacto con Atis ).

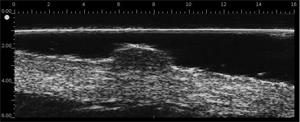
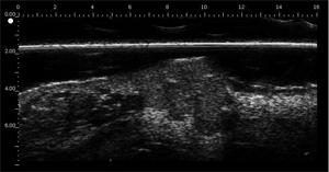
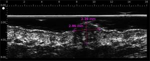
Melanomas Ecografía

Hipoecoica , con ecos de baja densidad. El eco de entrada no está muy marcado o ausente (ausencia de queratosis, ulceración) Melanoma ulcerado en el antebrazo (grosor medido a 3,68 mm en ecografía, grosor histológico). Lesión que infiltra la dermis. Melanoma en la oreja Carcinoma de células basalesCarcinoma de células basales en la frente (por encima de la arteria temporal)Carcinoma de células basales en la cara por encima del mastoidesCarcinomasuperficialCarcinoma pigmentado Nevo dérmico Lesión hipoecoica con muchos ecos, borde con la dermis adyacente mal definidoHistiocitofibroma  Lesión hipoecoica , pobremente limitada con muchos ecos. 

Queratosis seborreica

Lesión superficial con eco de entrada a menudo prominente y área oscura subyacente 

Quiste epidérmico

Lesión hipoecoica de forma redonda, bien definida con ecos centrales muy densos paralelos a la superficie

Burbuja bajo epidérmico

Lesión con un anecoica área hiperecoico demostrando su ubicación sub-epidérmica

Verrue seborreica

Atenuación posterior en la dermis debido a un fuerte eco de entrada (tumor queratinizado) 

labial Angioma rediseñado

Echoic lesión, homogéneo y bien definido

Angioma tuberosa trombosis

Atenuación posterior en la dermis debido a un fuerte eco de entrada (tumor queratinizado) 

El DERMCUP proporciona predictores no invasivos para las siguientes patologías

  • Lesión escamosa rosa; Enfermedad de Bowen, carcinoma basocelular superficial (BCC)
  • Lesión hiperqueratósica; Queratosis seborreica (KS), KS sin platico, queratoacantoma, carcinoma de células escamosas
  • Lesión nodular; CBC nodular, melanoma maligno nodular, metástasis cutánea
  • Esclerosis cutánea; tejido cicatricial, cicatriz queloide, CBC en forma de morfina
  • Cáncer de piel distinto del melanoma maligno; CBC superficial; mfsCBC, CBC nodular, naevomatosis basocelular, CBC infiltrante, carcinoma de células escamosas
  • Melanoma superficial extenso, melanoma maligno; Índice de Breslow

DERMCUP promueve la eliminación del tumor con los márgenes apropiados

  • Indica la extensión lateral y la profundidad de los cánceres de piel distintos del melanoma maligno (subclínico)
  • Determina el índice de Breslow para el melanoma maligno
  • Promueve la reducción del riesgo de escisión incompleta del tumor
  • Promueve la reducción del riesgo de recurrencia del tumor
  • Promueve la reducción de las complicaciones debido a la escisión incompleta del tumor como parte de la «reparación del colgajo»

DERMCUP optimiza el soporte

  • Biopsia (o ninguna biopsia); afeitado, punzón, incisional (fragmento de la lesión), excisional (lesión completa)
  • Cremas tópicas; ácido salicílico, urea, efudix, aldara
  • Fototerapia dinámica; Evaluación de la probabilidad de una respuesta (profundidad <1,5 mm), documentación de la respuesta, confirmación de la respuesta
  • Tratamiento destructivo local; Crioterapia, curetaje-electrocoagulación, láser
  • Escisión con márgenes optimizados
  • Cirugía micrográfica de Mohs

El DERMCUP promueve el monitoreo objetivo del sitio tratado

  • Detecta la persistencia del tumor en el tejido cicatricial después de 3 meses
  • Detecta recurrencia tumoral en tejido cicatricial después de 12 meses
  • Cuantifica la respuesta a la electrocoagulación con curetaje a los 3 meses y verifica la ausencia de recurrencia a los 12 meses
  • Cuantifica la respuesta a Aldara a los 3 meses y verifica la ausencia de recurrencia a los 12 meses
  • Cuantifica la respuesta a la fototerapia dinámica a los 3 meses y verifica la ausencia de recurrencia a los 12 meses

Cáncer de piel

cicatriz queloide

Visualización de la organización horizontal de las fibras de colágeno

Dermatología, dermo-cosmética

Aplicaciones

  • Información objetiva sobre el cáncer de piel
  • Ayuda de diagnóstico en esclerodermia, hiperlaxis cutánea, edemas
  • Apoyo a la decisión terapéutica
  • Estudio de la eficacia de la terapéutica en psoriasis y esclerodermia
  • Estudio cuantitativo del envejecimiento cutáneo
Start typing to see products you are looking for.
Shop
0 items Cart
My account